
목이 정상적이라면, C자 형태의 곡선으로 이룹니다. 하지만 요즘은 스마트폰과 컴퓨터 사용량이 증가함에 따라 고개를 앞으로 쭉 숙이거나 오랫동안 숙이는 잘못된 자세를 유지하거나 외부 충격으로 인해 목 근육이 경직되면, 일자형 또는 역 C자 형태 곡선을 이루게 됩니다. 이에 따라 젊은 연령층에서도 목이 딱딱해지고 통증을 느끼고 어깨까지 통증이 느껴지는 거북목 증후군을 앓는 분들이 늘어나고 있습니다. 또한 해당 질환은 현대인들의 만성질환이라고 불릴 정도로 많은 분이 많이 겪는 질환 중 하나인데, 이에 따라 증상을 발견하더라도 방치하는 경우가 많아 여러 통증과 목 디스크 등과 같은 2차 질환을 유발하게 됩니다.

거북목 증후군의 대표적인 증상은 무엇이 있나요?
서 있을 때 어깨보다 머리가 앞으로 나와 있으며, 목을 뒤로 젖히기 힘들며, 목뒤 쪽이 뻐근한 느낌이 들고 당기는 듯한 통증이 동시에 느껴진다는 것이며, 만약 평소 어깨와 목 그리고 허리의 통증이 지속된다면 질환을 의심해봐야 합니다. 이 외에도 목뒤가 욱신욱신 쑤시는 듯한 목 통증이 있거나 눈의 피로 및 두통을 호소하는 경우가 있고, 어깨 근육이 긴장되고 목뒤와 함께 어깨의 통증이 있거나 목에서 발생한 통증이 온몸으로 퍼지면서 손 저림까지 발생할 수 있습니다. 밤에 통증이 심해 잠을 깊이 자기 어렵습니다.
거북목/일자목 치료법은 어떤 것이 있나요?
거북목 치료법은 수술적 치료와 비수술적 치료로 나눌 수 있습니다. 수술적 치료는 일반적으로 복구력이 떨어지는 경우나 심각한 질환의 경우에 시행되며, 비수술적 치료에는 주사 치료/프롤로 요법/신경차단술/신경성형술이 있습니다. 또한 교정을 위해 도수치료가 있습니다. 도수치료는 목 통증이 원인이 되는 근육과 인대, 힘줄, 근골격계의 문제점을 체크하고 이완 또는 교정을 하게 되는 치료 방법입니다. 1~2회로 끝나는 것이 아니라 3개월 이상 지속해서 하시는 것을 추천해 드립니다.
거북목/일자목 예방 방법은 어떤 것이 있나요?
고개를 앞으로 숙이거나 몸을 구부리는 자세를 줄여야 하며, 의자에 앉거나 서 있는 경우에도 어깨를 펴고 머리를 세우는 자세를 유지해야 합니다. 특히 책상에 오래 앉아 있어야 하는 학생과 직장인의 경우에는 한 시간에 한 번씩 목을 푸는 스트레칭을 통해 예방하는 것이 좋아요. 잘 때는 머리와 목덜미 라인을 잡아주는 기능성 목 베개 (경추 베개)를 사용하는 것이 좋습니다.
거북목에 대해 간략하게 알아 보았습니다.
이상증상이 있을 시에 가까운 척추 관련 의료기관을 방문해주시기 바랍니다.
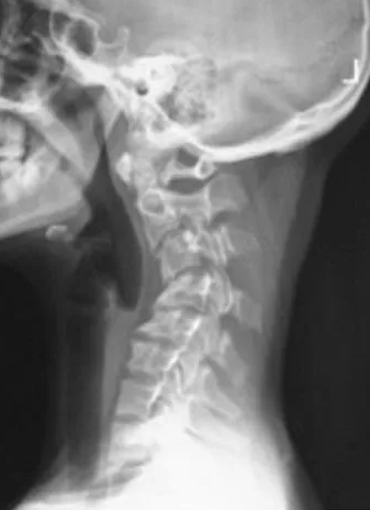
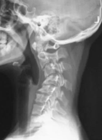
거북목 x ray 추가

'신경외과 > Spine' 카테고리의 다른 글
| 후종인대 골화증이 무엇인가요? (Ossification of posterior longitudinal ligament) (151) | 2023.04.12 |
|---|---|
| 황색 인대 골화증이 무엇인가요? (132) | 2023.04.11 |
| 척추에 나사를 넣는 척추 유합술은 무엇인가요? (20) | 2023.03.26 |
| 걷다보면 쉬었다 가는 척추관 협착증은 무엇이고 어떻게 해야 하나요? (35) | 2023.03.25 |
| 척추측만증이 무엇인가요? (8) | 2023.03.10 |