71세 남환
내원 2일전 새벽 운전 중 반대차선에서 라이트를 꺼져있는 채로, 갑자기 유턴을 한 차량을 발견하지 못하고 후미를 박음
한방병원에 입원을 하다, 우측 팔 방사통 및 힘이 빠져 MRI 권유를 받고 외래옴

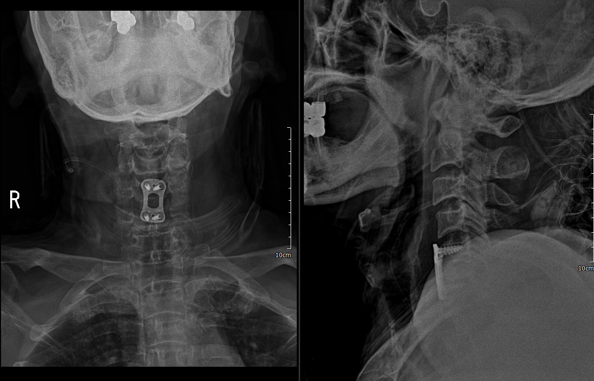
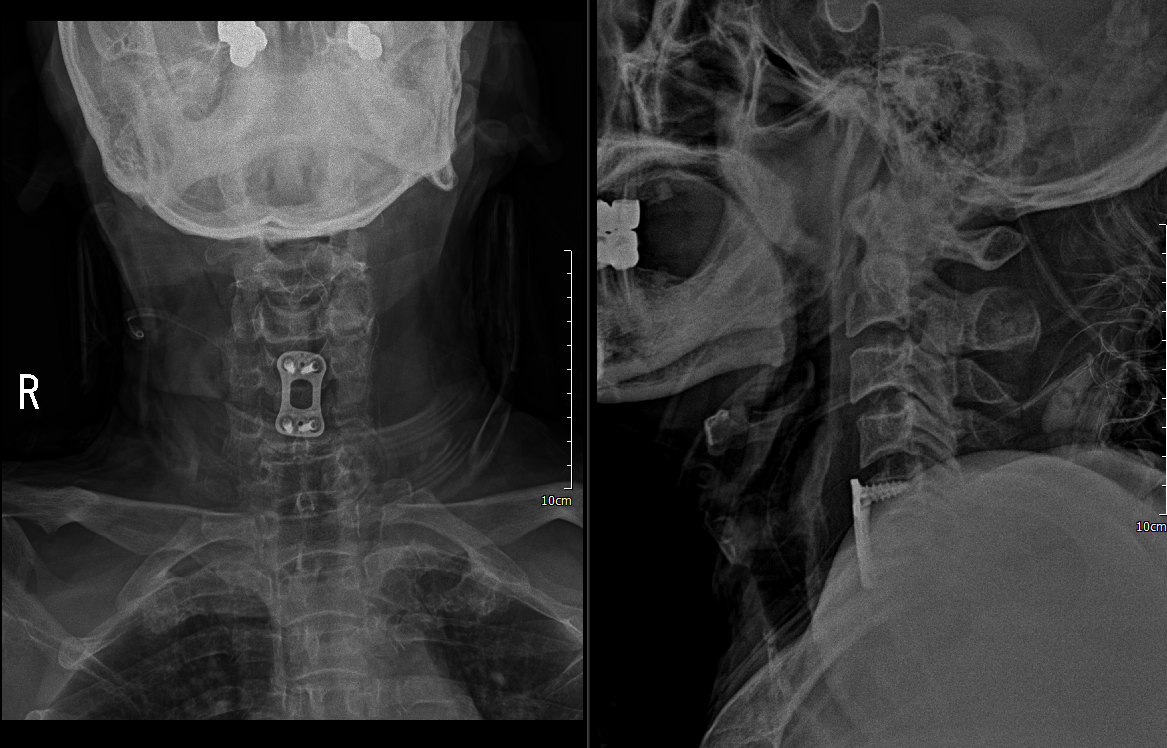
x ray 측면에서 보면 경추 5/6 후관절 탈골이 확인이 됨.
힘은 G4 측정
MRI


C5-6 : Ruptured HCD, Rt
당일 수술필요성 이야기 하였으나, 환자가 경황이 없어 좀더 생각할 시간이 필요하다 함..
일단, 설명은 하였고, 수술방에서 C-arm을보고, reduction을 해보고, 되지 않을 시 대학병원 가셔서 수술하셔야 된다고 설명함.
그 다음날에 점심정도에 다시 병원에 오셔서 수술 정하셨다고 하여, 수술방에 올라가 reduction 시행함

reduction 된 것을 확인 하였음.
2 Stages OP 로 시행하기로 함
1. C5/6 ACDF & iliac bone graft(Rt)
2. PF C5/6
자동차 보험 환자라 cage 및 plate를 둘다 사용할 수 없어서 cage 대신에 우측 iliac bone을 떼서 C5/6 discectomy 이후 넣음
C5/6 ACDF & iliac bone graft(Rt)

수술 후 우측 팔 방사통 및 힘빠짐은 줄어 들었음
하지만 안정성 확보를 위해 5일 후 뒤쪽으로 고정술 시행
lateral mass screw을 사용하여 고정술 시행

현재 POD 2일 째, barovac에서 배액은 잘 되고 있고, 첫 날보다 통증도 감소상태
교통사고로도 목이 저렇게 될수 있다는 사실이 놀라운...
'신경외과 > Spine' 카테고리의 다른 글
| 디스크 탈출 있으면 무조건 해야 하나? (0) | 2022.12.09 |
|---|---|
| 수핵성형술 무조건 안전한가..? (0) | 2022.12.07 |
| HCD C3/4/5 c OPLL C4 case (0) | 2021.06.30 |
| Discogenic back pain 5 Sx. (0) | 2021.06.11 |
| Axial loaded MRI of the lumbar spine-케이스발표 (0) | 2021.05.02 |