728x90
Management Options for Traumatic Hemorrhagic Lesions
Condition Management
| Subdural Hematoma | |
| >10 mm thick or >5 mm midline shift | Surgical evacuation |
ICP >20 mm Hg |
Surgical evacuation |
| GCS score <9 | ICP monitoring |
| Epidural Hematoma | |
| >30 mL volume, regardless of GCS score | Surgical evacuation |
GCS score >8 without focal neurological deficit |
Conservative management with intensive monitoring and serial imaging |
| Intraparenchymal Hematoma | |
| Progressive neurological deterioration referable to lesion, medically refractory intracranial hypertension, or mass effect on CT | Surgical evacuation |
| Any lesion >50 mL | Surgical evacuation |
cisternal compression on CT |
Surgical evacuation |
no significant signs of mass effect on CT |
Conservative management with intensive monitoring and serial imaging |
CT, computed tomography; GCS, Glasgow Coma Scale; ICP, intracranial pressure.
- depressed skull Fx.에서 SSS 를 침범하였을 때 치료원칙
| * Closed wound without any neurological defict , mass effect : observation * Open wound with or without mass effect : filling defect -> decompression and wound closure 하고 observation * Occlusion without any neurological deficit : sinus ligation and bone removal * Normal sinus : bone removal with active therapy |
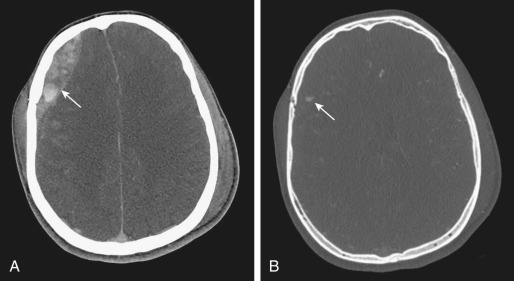
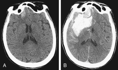
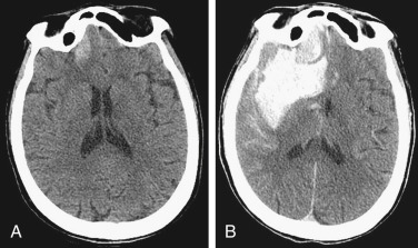
EDH

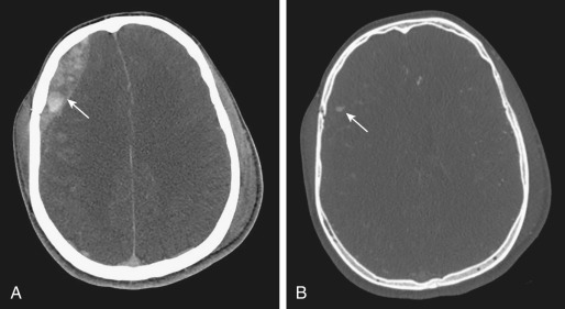
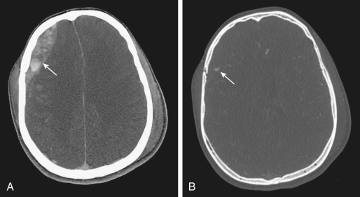
SDH

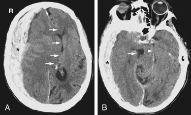
ICH

Ref. Zacko, J. C., L. Harris, and M. R. Bullock. "Surgical management of traumatic brain injury." Youmans Neurological Surgery. Volume 4
728x90
'신경외과 > Trauma' 카테고리의 다른 글
| Temporal bone fracture (측두부 골절) (0) | 2021.01.06 |
|---|---|
| Traumatic brain injury (0) | 2021.01.03 |
| Brain herniation (0) | 2021.01.03 |
| 외상환자 관련 (0) | 2020.11.27 |