1. 체액의 구성
표 1. 체액의 구성
|
구 획 |
체액량 |
75 kg 남자의 체액량 |
|
총체액량 |
체중의 60% (여자 50%) |
45 L |
|
세포내액 |
체중의 40% |
30 L |
|
세포외액 |
체중의 20% |
15 L |
|
간질액 |
세포외액의 3/4 |
11.25 L |
|
혈장 |
세포외액의 1/4 |
3.75 L |
|
혈액 |
체중의 7% |
5 L |
2. 체액량 유지
1) 정상 체액량 유지를 위해 하루에 수분은 최소 1,400 mL (60 mL/hr), 나트륨 75-175 mEq, 칼륨 20-60 mEq 필요하며, 단백질 이화작용을 최소화하기 하여 포도당 형태의 탄수화물 100-150 g 필요함.
2) 병력청취와 이학 검사를 통하여 체액량(hypovolemia) 혹은 과체액량 (hypervolemia)를 진단할 수 있으며, 원인을 추정할 수 있음.
3) 체액량의 징후 : 낮은 경정맥압, 체위저혈압, 체위성 빈맥, 겨드랑이 발한의 소실, 피부 긴장도 감소. 심할 경우 저혈압, 빈맥, 청색증, 사지냉각, 핍뇨, 의식변화 발생
4) 과체액량의 징후 : 부종, 체중 증가, 고혈압, 폐수포음, 경정맥압의 상승,
S3 gallop sound
3. 흔히 사용되는 수액제제 구성
표 2. 흔히 사용되는 수액제제 구성
|
IV solutions |
Osmol (mOsm/L) |
Na (mEq/L) |
Cl (mEq/L) |
HCO3 (mEq/L) |
K (mEq/L) |
Ca (mEq/L) |
glucose (g/L) |
|
Normal saline |
308 |
154 |
154 |
|
|
|
- |
|
Half saline |
154 |
77 |
77 |
|
|
|
- |
|
Ringer's soln |
295 |
147.5 |
147.5 |
|
4 |
4.5 |
- |
|
Hartmann's soln |
274 |
130 |
109 |
28 |
4 |
1.5 |
- |
|
3% saline |
1026 |
513 |
513 |
|
|
- |
- |
|
5% D/W |
278 |
- |
- |
- |
- |
|
50 |
|
10% D/W |
556 |
- |
- |
- |
- |
|
100 |

4. Osmolality
삼투질 농도는 용액(물) 1 kg에 포함되어 있는 용질(osmole)의 개수를 표 시하는 것으로 mosm/kg H2O로 표시된다. 세포외액의 osmolality는 주로 나트륨 농도에 의해 변화하며 그 외 포도당이나 요소 농도도 관련되어 있다.
1) measured osm : osmometer로 측정하며 가장 정확
2) calculated serum osm = 2xNa+glucose/18+BUN/2.8
calculated osmolality는 대부분에서 osmometer로 측정된 measured osmolality와 일치하게 되나(measured osmolality=calculated osmolality±10), 세포외액 중에 상기식에 포함되지 않는 물질이 증가된 상태에서는 measured osmolality가 calculated osmolality보다 높이 나오게 되며 이를 osmolal gap이라 한다. osmolal gap의 증가는 ethanol, methanol, isopropyl alcohol, ethylene glycol 중독, propylene glycol 중독, glycine, mannitol 또는 방사선 조영제의 사용 등에서 관찰될 수 있다.
3) effective osm = 2xNa+glucose/18
BUN은 세포막을 자유로이 통과하기 때문에 유효 삼투압 형성에 영향을 미치지 않는다.
4) plasma osm ≒ 2xNa
일반적으로 포도당과 요소는 10 mosm/kg H2O 이하를 형성하기 때문에 나트륨의 농도가 궁극적으로 삼투압과 관련되어 있다. 하지만 고혈당 에서는 유효혈장 삼투압을 증가시켜 세포 밖으로 수분을 이동시키므로 dilutional hyponatremia를 일으킨다. 당이 100 mg/dL 상승할 때마다 Na는 1.6 mEq/L 하강하고, 혈장 삼투압은 2 mosm/kg H2O 상승한다.
5. Hyponatremia
1) 정의 : 혈청 Na 농도<135 mEq/L
2) 임상양상 : 증상은 삼투압성 세포내 수분 이동에 의한 뇌부종과 연관된다. 혈청 Na 농도가 120 mEq/L 이상에서는 부분 무증상이나, 급성 (즉, 2일 이내)으로 발병할 경우 이보다 높은 농도에서도 두통, 오심, 구토, 권태감, 기면, 발작, 혼수 등의 증상이 올 수 있으며, 영구적인 신경학적 손상이 발생할 수 있다. 만성(기간 3일 이상)일 경우에는 세포내 용적을 방어하기 한 적응기전이 일어나므로 증상이 심하지 않을 수 있다. 따라서 증상의 중증도는 혈청 Na 감소폭과 감소 속도에 밀접한 관련이 있으며, 증상이 있거나 혈청 Na 농도가 110 mEq/L 이하인 경우 응급치료가 필요하다.
3) 진단적 접근 : plasma urine osmolality 그리고 urine Na 농도 측정

SIADH 특징(신경외과에서는 대게 Pituitary surgery 5~7일경 발생)
Posm < 275 mOsm/kgH2O
Uosm > 100 mOsm/kgH2O (정상 신기능)
UNa > 20 mEq/L
저나트륨혈증 치료의 일반적인 권고사항
Initial rapid correction if associated with severe symptoms
Maximum brain volume expansion: 8-10% (rigidity of the skull). Theoretically no need to increase initial SNa by more than 8%
Maximum SNa correction <10-15 mEq/L/24 hours and lower than 10mEq/L/24 hours if associated risk factors for myelinolysis: hypokalemia, malnutrition, alcoholism, liver disease, burns, phosphate depletion(?), hypoglycemia(?), hypocorticism(?)
Close monitoring of SNa : every 1-2 hours initially, then every 4 hours, particularly if urine output is high (>150 mL/hr)
If SNa increases too rapidly, interrupt the increase by hypotonic fluid administration and/or desmopressin acetate
급성 저나트륨혈증의 치료
Hypertonic saline (3% NaCl): 1-2 mL/kg of body weight/hr
If severe antidiuresis, SNa will increase by about 1-2 mEq/L/hr and by 2-4 mEq/L/hr if combined with furosemide.
If associated with severe symptoms (seizure, obtundation, coma):
➡ treat with 3% NaCl 4-5 mL/kg of body weight/hr for 1 or 2 hours.
Target: increase SNa by 4-6 mEq/L and interrupt correction when symptoms regress
In acute hyponatremia, rapid normalization of SNa usually safe but rarely necessary.
In the beginning it is advisable to monitor SNa every 1-2 hrs
저나트륨혈증 치료 예제
60 kg 여자 Na 110 mmol/L일 때 24 hr 동안 120 mmol/L까지 올릴 계획이라면
1) plasma sodium deficit per liter = 120-110 = 10 mmol
2) total body water = 0.5×60 = 30 L
3) sodium deficit for initial therapy = 10×30 = 300 mmol
4) ① 3% saline으로 치료한다면 300 mmol = 51.3 mmol/100 cc × 600 cc ∴ 600 cc를 24 hr 동안 준다.
② 0.9% saline으로 치료한다면 300 mmol = 15.4 mmol/100 cc × 2,000 cc ∴ 2,000 cc를 24 hr 동안 준다.
저나트륨혈증 치료의 계산법

중심성 교탈수초증(central pontine myelinolysis, CPM)
1) 저나트륨혈증을 너무 빨리 교정하게 될 경우, 세포 밖으로 체액의 삼 투성 이동 때문에 수초(myelin sheath)로부터 신경세포(neuron)의 수축 이 일어나 발생함. 대부분 24시간 이내 혈장 Na 농도를 12 mEq/L이상 교정할 때 발생 가능성 높음.
2) 증상 : dysarthria, ataxia, paralysis, locked-in syndrome, confusion
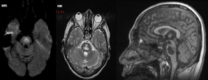
3) 진단 : CT 혹은 MRI - “trident sign” or “piglet sign”
4) 위험인자 : 탈수, 저칼륨혈증, 영양실조, 알코올 중독증, 만성 신부전, 악성 암종, 심한 화상
5) 급성기 신경학적 증상의 중증도와 기존의 동반되는 질병 또는 방사선 학적 검사 결과는 예후와 크게 상관이 없으며, 대부분의 CPM 환자들은 영구적인 신경학적 손상이 남음.

6. Hypernatremia
신경외과 환자에서 생기는 hypernatremia는 대부분 다음 둘 중 하나
-
Brain death (환자의 약 60%)
hypothalamus에서의 ADH 생성이 없어져 central DI -> vasopressin IV infusion (시간당 0.04-2.4units) serum Na+를 155이하로 유지
-
Pituitary 수술 환자
Pituitary adenoma 환자는 대게 transient DI (5-7일째 DI에서 회복되면서 오히려 hyponatremia가 올 수 있음.) Craniopharyngioma환자는 대부분의 경우에서 triphasic DI (postop 직후부터 DI가 생기다가 5-7일에는 갑자기 SIADH가 생기면서 sodium이 떨어지고, 다시 7-10일경부터 DI가 생기는 것- tumor section 참고)
Free water deficit
= 총체액량 x (측정된 Na - 140) / 140
= 체중 x 0.6(남자) or 0.5(여자) x (측정된 Na/목표 Na-1)
간단히 생각하면 정상(140)에서 오른 x% 만큼, 체액량 x%가 부족하다고 생각하면 된다.
예) 몸무게 70kg 여자환자가 Na+가 167이고, Na+가 140일때와 비교해서,
Free water deficit = 70 x 0.5 x (167-140)/140 = 6.75 (6.75 L의 물이 부족한 상황임.)
7. Hypokalemia
1) 정의 : K+ <3.5 mEq/L
2) 원인: 신경외과 환자에서 흔한 원인은 이뇨제 투여 (mannitol, lasix), 포도당 혼합 수액 (Insulin+glucose로 K+의 재배치), 요붕증 (뇌하수체나 시상하부 이상), 대사성 알칼리증 (과호흡), 섭취부족 등임.
3) 치료 (3.0-3.5이면서 증상없으면 초록야채, 주스)
가) 경구 치료: 만성, 경증 저칼륨혈증인 경우
(1) 혈청 K+ 1 mmol/L 감소는 total body K+ deficit 200-400 mmol를 의미
(2) 예방적 목적으로 20 mEq/day 정도의 경구 제제로 충분
(3) 치료 목적으로 40-100 mEq/day 정도의 경구 복용(K-contin 600mg = 8 mEq/tab)
나) 정맥 치료 : 중증 저칼륨혈증 (< 3.0) or EKG 변화 동반시
(1) 농도: 말초 정맥 <40 mEq/L, 중심 정맥 <60 mEq/L
(2) 주입 속도 <20 mEq/hr
(3) 응급시 5-10 mEq KCl을 15-20분에 걸쳐 투여
(4) KCl은 normal saline에 투여 : DW 투여시 insulin-mediated shift 됨
(5) 하루에 투여되는 총 K + 양이 200 mEq를 넘지 않도록 함
8. Hyperkalemia
1) 정의 : K+ >5.0 mEq/L
2) 임상양상 : 상행성 근력 저하-이완성 사지마비, 호흡마비, 심부건반사 (DTR) 감소, 감각이상(paresthesia) 혼미, 부정맥
3) 원인: 신경외과 환자에서 흔한 원인은 대사성 산증, 신부전, 유효 순환 혈액량 감소임. 투여 중인 약 때문인지도 확인 (Potassium sparing diuretics, NSAIDs, Heparin, ACE-inhibitor, ARBs, 𝛽-blockers).
4) 치료
가) 가성 고칼륨혈증 제외
나) 심전도 확인
다) 급성치료
(1) 고칼륨에 의한 막독성 억제 : 심전도상에서 유의한 이상(widening of the QRS complex or loss of P waves)이 있는 경우 처치 함(peaked T만 있는 경우는 제외).
• Calcium gluconate 1A (10% solution 10 mL) IV slowly (응급치료: 1-3분, 30분간 지속) or Calcium chloride (10% solution) 5 mL IV
• 5분 내에 심전도상의 호전이 없는 경우 반복 가능함.
• Digoxin 치료를 받고 있는 경우 calcium mixed in 100 mL of 5% dextrose에 천천히 infusion
(2) 세포내로 K + 이동: K+ >6.5 (혈액투석을 하고 있으면서 심전도 의 이상이 없는 만성 고칼륨혈증 환자 제외)
• Regular Insulin 10-20 unit + 50% glucose (50 mL) IV bolus 투여후 10% dextrose at 50 mL/min 속도로 주입하면서 한 시간마다 혈당 체크함. 15-30분 내 반응, 수시간 지속
• Albuterol (5 mg/mL) 10 to 20 mg neubulized over 10 min (metered dose inhaler도 사용 가능, 20-30분에 반응)
• 30분에 반응, 2 시간동안 지속, 천식환자 치료용량의 8배
• 말기 신부전 환자에서는 40%에서 효과가 감소되어 있음.
(3) 직접체내 K + 제거
• 혈액투석 : 상기 보존적 치료로 교정이 되지 않거나 말기신부전환자인 경우, 세포손상으로 많은 양의 칼륨이 분비되는 경우
• Calcium polystyrene sulfonate (15-30 g)
• K+ <6 mEq/L, 증상이 없고 심전도 변화가 없는 경우
• 급하지 않은 치료 시에 처방함 : 1-2시간 후 작용
• 아가메이트 젤리® , 카리메이트® , 카리메이트과립® , 칼리테 이커® , 카슈트산®
• Kallimate 20 gm+NS 200 cc mix enema (1-2 시간 작용, 4시 간마다 반복 가능)
• Sodium bicarbonate : 산증이 없는 경우 효과 미미함.
• 45 meq (1 amp of 7.5 percent solution) 5분간 천천히 정맥주 사(단, 칼슘과 같이 투여하지 않을 것)
• 심한 대사성 산증이 있는 경우 pH를 교정하기 위하여 투여 함.
• Loop diuretic : 라식스(furosemcide) 20 to 40 mg IV. 신부전 이 있는 경우 더 많은 용량이 필요함.
라) 만성치료
• 원인이 되는 약제 중단
• 저칼륨식이 : 칼륨 섭취량을 60 mEq/day 미만으로 함.
• 산증을 교정함.
• 이뇨제 : loop diuretic, thiazides (hypokalemic hypochloremic metabolic acidosis)
• Mineralocorticoids-fludrocortisone (0.4-1.0 mgper day) fludrocortisone, Florinef®
'Medicine > Basic' 카테고리의 다른 글
| The diagnosis of brain death <뇌사판정> (0) | 2020.12.28 |
|---|---|
| Brain edema (0) | 2020.07.09 |
| Analgesics & Sedatives (0) | 2020.07.09 |
| Vasopressors (0) | 2020.07.09 |
| Status Epilepticus (0) | 2020.07.09 |